aktueller Wurf
Home 
News 
Über mich 
Meine Hunde 
Würfe 
Links 
Kontakt 
Gästebuch 

 

 Nakima vom Annenhof                                                                  Jimbeam Talka Marda

                            

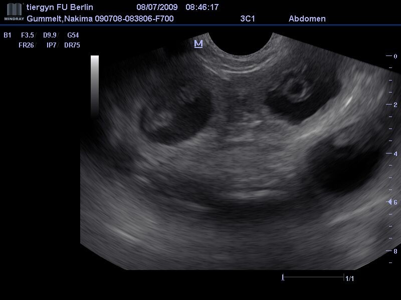
Am 08.06.2009 wurde Nakima von Jimbeam belegt. Am 08.07.2009 wurden die "ersten" Fotos der Welpen gemacht.

Und der Beweis Nakima ist tragend..... fünf plus x war die Aussage des Arztes.

   auf das Ergebnis "X" mußte ich nun noch einmal 4 Wochen warten. Nakima und ihr Bauch

wuchsen gut.... "kleine Trommel" hab ich sie zum Schluß genannt...

Freitag: 07.08.2009 Nakima fängt an zu werfen und aus den fünf plus "x" werden insgesamt "8".

Mit einer Stärke von 3 / 5 war der Wurf um 21.50 Uhr komplett.

 

 

  Nakima und den "Würmern" geht es gut!!!

12.08. Die Welpen haben die ersten fünf Tage gut überstanden alle wachsen und einige schneller andere normal. Mein kleiner Freßsack, wie ich ihn am dritten Tag getauft habe, wiegt schon 810 g! Ohne Worte. So und nun noch ein paar Fotos.

 

 

Die drei Rüden:  

Und die 5 Hündinnen:

 

 Okay das soll es für heute gewesen sein von uns. Nun hat Ihr mal ein Bild von uns. Unser Frauchen ("Oma" wie sie von allen jetzt genannt wird) hat sich entschlossen das wir mit "S" anfangen. Also mal sehen wer sich tolle Namen mit diesen Buchstaben ausdenkt. Der kleine "schwarze" unter uns (er versteckt sich auf dem Foto oben ein wenig) favorisiert "Stryke" da er der erste schwarze "vom schwarzen Waran" ist!!

Und wieder ein freundliches "Hallo" unseren Besuchern. Heute ist Freitag und wir sind eine Woche alt. Und hier seht ihr mal unseren Aufenthaltort nach dem Wiegen:

Oh schlafen ist doch was herliches.

So noch einmal vor dem schlafengehen wollten wir uns doch mal wieder bei euch melden. Wir sind jetzt 18 Tage alt und was so die letzten anderthalb Wochen los war könnt ihr euch sicher denken. Am 9 Tag hat die erste von uns mal ein Auge riskiert und war mit der Umgebung und Mama ganz zu frieden, sodass wir alle dann nach und nach bis zum 12 Tag die Augen öffneten.  Und heiß wurde es und wir von unserer "Oma" mal raus auf was kühles grünes gebracht. Man hat das gut gerochen und so viel neues.....

 

Aber drinnen ist es doch am schönsten auch wenn es manchmal ganz schön warm wird bei uns, aber so ist das im Sommer scheinbar...

 

So was jetzt kommt ist "heute" wie gesagt wir sind 18 Tage alt und bekommen jetzt auch schon mal Besuch.... Familie nennen die Leute das...  

Und heute ist mal wieder Zeit was neues von uns zu berichten...Wir sind jetzt drei Wochen alt und zur Feier des Tages

gabs was neues....."Nahrung aus der Schüssel!"  wir sahen aus wie .....

Aber geschmeckt hast das gibt hoffentlich jetzt jeden Tag...Das mit den Zähnen wird auch so langsam!!!

Ansonsten wachsen wir alle prima!! Toben und Unfug machen klappt auch schon teilweise.

       

Mama haben wir auch schon geschafft..... aber nicht für lange dann ist sie wieder fit.

Hallo gesagt nun sind über vier Wochen ins Land gezogen und wir wollten uns jetzt dann mal alle nacheiander zeigen....Zu erst die Mädels.

     

                                                                          Sarah

 

                                                                                                                   Speedy

und nun die Kerle..    

                                           Scotch                                               Stryke                                          Sasko

Was wir so den ganzen Tag machen???    Essen, Spielen, Schlafen, Toben.....

     

   Klar und Mama genießt die Ruhe      

6 Wochen: Wo ist eigentlich die Zeit geblieben? Man macht das Spaß hier! Inzwischen schaffen wir den Weg in den Garten allein!
"Oma" muss uns nicht mehr tragen und     Schwupp sind wir schon im Garten und der Spaß kann beginnen.

Zum Beispiel mit Mama zanken..  oder... so nun noch ein paar Bildchen...

Stryke und Speedy... Sunny

   Sasko

   Komisch bei Mama gehts besser..

 So da soll´s für heute mal wieder gewesen sein....

Nun habt ihr aber lange nix von und gehört. 7 Wochen erleben wir nun schon das Treiben auf dieser Welt und es wird immer besser...

   

"Mann" (Scotch) denkt schon früh an die Fellpflege

So nun noch mal er Reihe nach....wie vor 3 Wochen....

      

       Sahry                                                     Sarah                                          Shakira

  

                       Sunny                                                                                Speedy (wünscht auch schönen Urlaub)

    

      Scotch                                                          Stryke                                          Sasko

 

Wir gucken alle deshalb so betröppelt, weil eigentlich wollten wir nur......

   
richtig: Nur schlafen aber diese Fotografierei sollte auch noch sein!!!!  Diese Menschen verstehe einer....

Morgen kriegen wir Besuch.... Freut euch schon mal auf die Fotos...

So wie versprochen heute noch mal was von uns.. Wir wurden heute geimpft und gechippt- Laut unsere Tierätzin die uns schon mit 4 Wochen mal besucht hat sind wir ganz schöne Groß und voll tapfer, keiner hat bei der großen Spritze für Chippen gejammert.

Am frühen Morgen hatten wir unseren Besuch... Seht mal was hier los war....

   

 Wir waren heute teil des Unterrichtes der Klasse 2b der ISB, man was hatten wir für ein Spaß
Die Kids waren zwar teilweise laut aber wir konnten mit ihnen Spielen ohne Ende. Und den Kinder hat das voll Spaß gemacht.

 

Tschüß den bis zum nächten mal

 

  


[1][2][3]

HomeNewsÜber michMeine HundeWürfeLinksKontaktGästebuch

Copyright (c) 2004 My Company. Alle Rechte vorbehalten.

s.gummelt@gmx.de